美しさのその先へ
─健康と人生に
寄り添う矯正治療を─
-
噛み合わせ
重視の
矯正治療 -
月に2症例限定
オーダーメイド
治療 -
各分野の
専門医が常駐
こんなお悩みはありませんか?
-
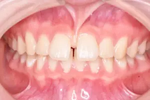
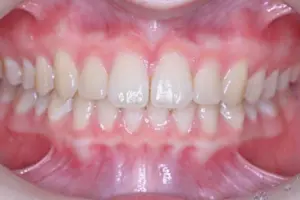
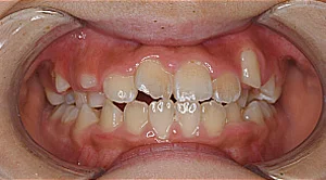
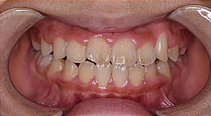
歯並びが気になって
笑顔に自信が持てない -
顎がガクガク鳴る
-
口が開きにくい
-
矯正後に体調が
すぐれなくなった経験がある -
歯を抜きたくない
-
見た目だけでなくかみ合わせや
健康面も重視したい -
他院で難しくてできないと言われた
こんなお悩みをお持ちの方は
カナザキ歯科での
矯正治療
がおすすめです。
features
当院の矯正治療の特徴
01
顎の動きを重視した
精密な診断
矯正治療の成功には、「見た目」だけでなく、「機能性」が伴っていることが重要です。
当院では、コンディログラフ(顎運動解析装置)を活用し、下顎の動きや顎関節の状態を三次元的に計測・分析しています。
このデータを元に、歯列・咬合・顎の動きの調和を重視した治療計画を立てています。
コンディログラフとは
コンディログラフとは、顎の関節の動きを記録・解析する装置のことです。主に顎関節症の診断の際に、顎の動きを正確に再現するために使用されます。
02
噛み合わせと
全身バランスへの配慮
矯正治療によって噛み合わせが整うと、歯への過度な負担が軽減され、虫歯や歯周病のリスクも低下します。
また、咬合の安定は、顎関節症の予防や改善、姿勢・発音・呼吸・睡眠といった日常の機能にも好影響を与える可能性があります。
当院には「噛み合わせの認定医」も在籍し、必要に応じて咬み合わせの調整をご提案して調整を施すことで、矯正後の安定性を高めることができます。
月に2症例に絞った
オーダーメイドの
矯正治療
当院では、矯正治療を新たに開始される患者様を月2症例までに限定させていただいております。
これは、単に歯並びを整えるだけでなく、精密な検査と丁寧な診断に基づき、患者様一人ひとりに最適な噛み合わせを考慮したオーダーメイドの治療をご提供するためです。
実際に、見た目だけを優先した矯正治療により、かえって噛み合わせや全身のバランスを崩してしまい、健康を損なっている方も少なくありません。だからこそ当院では、短期間で多くの症例をこなすのではなく、一人ひとりの身体の状態としっかり向き合いながら、丁寧な治療を行うことを大切にしています。
症例数は多くはありませんが、見た目の美しさとともに、全身のバランスや健康を追求する矯正治療を通して、より健やかな毎日をサポートいたします。
03
「ゴムメタルワイヤー」
を使って
非抜歯・痛み
軽減・治療期間短縮
ゴムメタルワイヤーを使用する「GEAW法」は、歯が動きやすいとされる「緩やかで持続する力」を安定して加えることができる矯正方法です。
そのため、歯や周囲組織への負担を抑えながら治療を進めやすく、症例によっては非抜歯での治療や、痛みの軽減、治療期間の短縮につながる場合があります。
04
最新の医療機器を完備
患者様に一人ひとりに最善の治療計画をご提供するために、歯科用CT、3D口腔内スキャナーなど様々な設備を導入し、精密な検査を行なっております。
最新の医療設備や技術を駆使することで、患者様の身体的負担と時間的負担を最小限に抑えながら、より安全で確かな治療の提供を目指しています。
-
05
「歯周病専門医」として
治療中も予防ケアが可能
-
06
矯正治療後の
歯茎
下がりにも対応可能
-
07
「インプラント専門医」
として
歯の欠損や
補綴の矯正も対応
お電話または
WEBより
ご予約いただけます
TREATMENT
矯正診療メニュー
大人の矯正
「誰もが本当に喜べる矯正を提供したい」という治療目標を掲げる当院では、その実現のため、単に綺麗な歯並びに整えるだけでなく、原因の部分をきちんと治して、矯正後の咬み合わせの違和感や体調の変化を最小限に抑える治療を行なっています。
その結果として、治療期間の短縮や後戻り予防、たくさんの患者様からの喜びのお声につながっています。
子どもの矯正
成長過程にあるお子さまは、その成長をうまくコントロールして導くことで歯並びと咬み合わせを良くしていくことが大切です。
当院では、お子さまの歯並びが悪い方向に向かっている「原因」は何なのかをきちんと診断し、その改善を図ったうえで、歯並びを整えていく将来を見据えた治療を行なっています。
Doctor
院長挨拶
for the patient
─ すべては患者様の
笑顔のために
私たちはできる限り質の高い治療を追及したいという強い思いで日々の診療に臨んでおります。
「もし自分が患者さんだったらどんな治療を受けたいだろうか」と自問自答しながら自分も受けたい治療の実践を行う。これこそ当院が最も大切にする「for the patient」という考え方です。
治療が終った患者様には予防と心地よいメンテナンスを継続し健康維持をサポートしてゆく。来院されたすべての患者様が「ここに来て本当に良かった」と心から喜んでいただけるような歯科治療を、みなさまに提供し続けること、これが私たちのミッションであると同時に心底より望んでいることです。
幸いなことに当院には志を同じくするスタッフが広い地域からたくさん集まってきてくれています。
もし歯科に関してのお悩み、お困りごとなど、私達がお力になれることがございましたら、私を含め当院のスタッフならだれでも構いません、何なりと遠慮なくご相談ください。一生懸命、誠実に対応させていただきます。
お口を通して皆様の人生がより豊かになりますように。
略歴
- 1990年 九州歯科大学卒業「Award of Dentsply」
受賞 - 1994年 九州歯科大学保存修復学
大学院博士課程修了 歯学博士号取得
北九州市の野田歯科医院に勤務
九州歯科大学非常勤講師兼務 - 1999年 カナザキ歯科開業
講演会記録
- 第58回愛媛県産婦人科医会学術集談会にて特別講演
- 香川大学医学部口腔外科にて講演会
- 九州歯科大学保存修復科にて講演
- 島原南高歯科医師会主催 歯周病講演会
矯正担当ドクターが
複数在籍しています
当院には矯正治療を専門とする複数のドクターが在籍しております。
患者様一人ひとりの症状に合わせ、最適な治療方法をご提案いたします。
FLOW
治療の流れ
-
01.
初診カウンセリング
01.
初診カウンセリング
初診時のカウンセリングでは、治療の必要性や適切な治療の開始時期、予測される装置・治療方法、治療期間および費用の概略について説明をいたします。
矯正歯科治療は自由診療となりますが、初診カウンセリングは基本的に保険適用内でご対応可能です。
-
02.
資料取り
02.
資料取り
診断に必要な歯の型を採取し、お顔やお口の中の写真、パノラマレントゲン写真、頭部X線規格写真(セファログラム)など、診断・治療計画を立てるために必要な検査を行います。
-
03.
カンファレンス(分析)
03.
カンファレンス(分析)
検査で得たデータを元に、患者様のお口の現状と理想的な治療のゴールへの道筋を分析します。歯列・咬合・顎の動きの調和を重視した治療方針を立てています。
-
04.
カウンセリング
(治療方針のご説明)04.
カウンセリング
(治療方針のご説明)歯科医の診断後、患者様にあった治療方針の詳細や治療費などについて、詳しい説明をいたします。
それぞれのメリットやデメリット、治療期間や費用の違いなどについてご確認いただき、納得した治療方法を選んでいただいております。
-
05.
スキャニング、CT撮影
05.
スキャニング、CT撮影
当院では、コンディログラフ(顎運動解析装置)を活用し、歯列・咬合・顎の動きの調和を重視した治療計画を立てています。
複数の検査を組み合わせ、より精密に総合的な診断を行うことで根本的な原因から改善を図り、患者様の生涯にわたる美しさと健康を両立した矯正治療を目指しております。
-
06.
3Dシミュレーションの
ご案内06.
3Dシミュレーションの
ご案内歯列をデジタルデータ化し、AIが将来的な歯の動きを予測することでどのような歯並びになるかをコンピューター上でシミュレーションします。
治療の開始から完了まで、歯がどのように動いていくのかご確認いただき、治療への理解が深まるよう丁寧にご説明いたします。
-
07.
矯正装置(アライナー)
の装着07.
矯正装置(アライナー)
の装着マウスピース型の装置(アライナー)が完成しましたら矯正治療を開始いたします。装置の着脱方法や、お手入れの方法、使い方の説明などを行います。
1枚のマウスピースを交換するのは、おおよそ2週間に1回程度です。矯正治療中も食事中などは外して使っていただきます。
-
08.
定期的な通院・
メンテナンス08.
定期的な通院・
メンテナンス矯正期間中は定期的に通院していただき、歯の移動のチェックや新しいマウスピースをお渡しいたします。
また、矯正治療中はどうしても虫歯のリスクが上がってしまうため、虫歯や歯磨きのチェックも併せて行い、お口の健康維持もサポートいたします。
-
09.
治療終了後の保定と
アフターケア09.
治療終了後の保定と
アフターケア後戻りをを予防するために、動かした歯を支える骨や歯周組織が安定するまで、保定装置(リテーナー)を装着します。
治療後も定期的なメンテナンスを通じて、美しく健やかなお口の環境をしっかりとサポートいたします。
-
01.
初診カウンセリング
01.
初診カウンセリング
初診時のカウンセリングでは、治療の必要性や適切な治療の開始時期、予測される装置・治療方法、治療期間および費用の概略について説明をいたします。
矯正歯科治療は自由診療となりますが、初診カウンセリングは基本的に保険適用内でご対応可能です。
-
02.
資料取り
02.
資料取り
診断に必要な歯の型を採取し、お顔やお口の中の写真、パノラマレントゲン写真、頭部X線規格写真(セファログラム)など、診断・治療計画を立てるために必要な検査を行います。
-
03.
カウンセリング
(治療方針のご説明)03.
カウンセリング
(治療方針のご説明)歯科医の診断後、患者様にあった治療方針の詳細や治療費などについて、詳しい説明をいたします。
治療方法や装置の選択ができる場合は、それぞれのメリットやデメリット、治療期間や費用の違いなどについてご確認いただき、納得した治療方法を選んでいただいております。
-
04.
コンディログラフによる
顎運動解析、精密診断04.
コンディログラフによる
顎運動解析、精密診断矯正治療の成功には、「見た目」だけでなく「機能性」が伴っていることが重要です。
当院では、コンディログラフ(顎運動解析装置)を活用し、このデータを元に歯列・咬合・顎の動きの調和を重視した治療計画を立てています。
-
05.
矯正装置の装着
05.
矯正装置の装着
当院の「ゴムメタルワイヤーを用いたGEAWテクニック」は、従来のワイヤー矯正に比べて痛み・違和感が少なく、治療が短期間で済む、非抜歯で矯正できる、咬み合わせのバランスを考慮した治療が可能、後戻りしにくい特徴があります。
非常に繊細かつ高度な技術を要するため、提供できる医院は限られていますが、当院には確かな治療実績がございます。
-
06.
ワイヤー調整(月1回)
06.
ワイヤー調整(月1回)
通常は3~6週間に1回のペ-スで通院が必要となります。治療の段階によって通院頻度は異なります。
予約日に来院できないと治療の進行が遅れる場合があるので、スケジュールを確認して、しっかり通院することが大切です。
-
07.
治療終了後の保定とアフターケア
07.
治療終了後の保定と
アフターケア装置が取れた後の歯は、何もしなければ少しずつ動いてしまいます。後戻りをを予防するために、動かした歯を支える骨や歯周組織が安定するまで、保定装置(リテーナー)を装着します。
治療後も定期的なメンテナンスを通じて、美しく健やかなお口の環境をしっかりとサポートいたします。
PRICE
料金について
PRICE
料金について
お支払い方法
現金、クレジットカード、デンタルローンでのお支払いが可能です。 お支払い時に受付までお問い合わせください。
料金表
| 相談 | 無料 |
|---|---|
| 検査・診断 | 14,300円 |
| キャディアックス (顎機能咬合診断) |
55,000円 |
| 調整料 | 3,300〜5,500円/月 |
| ワイヤー矯正 | 1,100,000〜 1,210,000円 |
|---|---|
| 部分矯正 | 27,500〜396,000円 |
| マウスピース矯正 (インビザライン) |
385,000〜792,000円 |
| 小児矯正 | 33,000〜440,000円 |
治療費50万円の場合の
デンタルローンお支払い
シュミレーション
Aさん
月々5,000円
くらいの支払いを希望
治療費用50万円
- 1回目のお支払い
- 15,850円
- 2回目のお支払い
- 4,900円×119回
お支払い回数:120回 総額598,950円 手数料98,950円
Bさん
月々1万円
くらいの支払いを希望
治療費用50万円
- 1回目のお支払い
- 11,550円
- 2回目のお支払い
- 9,100円×59回
お支払い回数:60回 総額548,450円 手数料48,450円
医療費控除について
矯正治療は保険外の治療になるため、金額の面で悩む方が多いと思います。
ただ、矯正治療も医療費控除を受けられます。医療費控除とは治療にかかった費用が一定額を超えた場合、税務署に申告することで税金が軽減されるか、納付済みの税金が還付されます。
Q&A
よくあるご質問
- 矯正治療は何のためにするのですか?
-
カナザキ歯科
院長(理事長) 金﨑 伸幸噛み合わせが機能的に改善され、心身の健康増進につながります。
矯正治療をすることで歯並びと口元がきれいになるだけでなく、歯の掃除がしやすくなるため、虫歯や歯周病を予防することができます。さらに、歯並びの悪さがコンプレックスに感じていた人は矯正治療によりワンランク上の魅力的で品のある笑顔を手に入れた結果、自分への自信にもつながり、より豊かな人生と精神的余裕が得られます。
- 矯正治療は何歳から可能でしょうか?
-
カナザキ歯科
院長(理事長) 金﨑 伸幸乳歯と永久歯の混合時期(およそ6歳頃)から開始されることが多いです。
- 歯を抜かなければ、治療ができないのでしょうか?
-
カナザキ歯科
院長(理事長) 金﨑 伸幸必ずしも抜歯が必要なわけではありません。当院ではできる限りご自身の歯を残す方針を大切にし、精密な検査で歯を保存できる方法をまず検討します。
抜歯が最適と判断される場合でも、その理由をしっかりご説明し、ご納得いただいてから治療を進めます。
- 子どもの矯正と大人の矯正、どう違いますか?
-
カナザキ歯科
院長(理事長) 金﨑 伸幸子どもの矯正は、顎の成長力を利用して歯が並ぶ土台を整えるため、将来的な負担を減らせる点が特徴です。
大人の矯正は成長が完了した状態で行うため、歯を丁寧に動かして噛み合わせや全身のバランスも考慮した治療を行います。
- 顎関節症があるのですが、
治療できますか? -
カナザキ歯科
院長(理事長) 金﨑 伸幸顎関節症がある方でも矯正治療は可能です。顎関節相は歯並びや咬合の不正が原因になっている場合が多いと思われます。
したがって、顎関節症を治すためにも矯正を行う事が有効である場合が多いと考えています。
| 診療時間 | 月 | 火 | 水 | 木 | 金 | 土 | 日 |
|---|---|---|---|---|---|---|---|
| 9:00-13:00 | ● | ● | ● | ●※ | ● | ● | ━ |
| 14:00-18:00 | ● | ● | ● | ●※ | ● | ● | ━ |
【受付時間】月〜土 8:30〜17:30
【●※の受付時間】9:00〜17:00
【休診日】日曜・祝日
- 土曜診療
- 無料託児所あり
- 駐車場34台完備
























